Coronavirus: foreros sin nadie que se les quiera acercar ni a pegarle el COVIC el Gnomo

Eso solo lo sabes tu y los cuatro pirados como tu.

En España, a causa del coronavirus.
No, no es necesario.
Lo dice el mismo prospecto, SUB NOR MAL.
Que no sirve en asintomáticos.

Que mueran 150 personas al día en España por coronavirus está por demostrar.
Tienes los datos en página oficial del Ministerio?
 
Que pesaos los negacionistas con las autopsias, en todo caso lo que se hace es una analítica y un seguimiento de los síntomas hasta que entrega la cuchara.

No hace falta montar una cadena industrial de despiece.
Si ya han dicho claramente que todo lo que sea gripe se va a contabilizar como covid.
Y este año no hay seguimiento de la campaña de la gripe en la web de Sanidad... porque todo será covid.
 
Pues si hasta una pared te tira por tierra las gilipolleces que dices, apaga y vámonos. Si tienes algo coherente que decir dilo, y sino deja de hacer el gilipollas, que el fracachat ya está abierto.
Lo que no entiendes es que partes de una premisa falsa. El análisis monista que haces es un ejercicio de ignorancia filosófica, de mala fe o las dos a la vez. Es un lisologismo basto, una huida de la complejidad. Los árboles no te dejan ver el bosque subnormal de montaña.
 
Si ya han dicho claramente que todo lo que sea gripe se va a contabilizar como covid.
Y este año no hay seguimiento de la campaña de la gripe en la web de Sanidad... porque todo será covid.
Pero cállate ya, pedazo de imbecil, que solo dices gilipolleces que te DICEN o COMENTAN por ahí.
Deja de inventarte cosas y pon datos o referencias de lo que dices y deja ya de elucubrar chorradas; aporta algo más que tu profundo retraso, que me tienes ya hasta lo cojones de tanto faltar a la verdad, mongolo.
 
Editado cobardemente:
Lo dice el mismo prospecto, SUB NOR MAL.
Que no sirve en asintomáticos.

Que mueran 150 personas al día en España por coronavirus está por demostrar.
Tienes los datos en página oficial del Ministerio?
Que el prospecto que pusiste en ingles NO PONE ESO, gi-li-po-llas.
Los datos de Sanidad, ta-ra-do:
Para ver este contenido, necesitaremos su consentimiento para configurar cookies de terceros.
Para obtener información más detallada, consulte nuestra página de cookies.
 
Que el prospecto que pusiste en ingles NO PONE ESO, gi-li-po-llas.
Los datos de Sanidad, ta-ra-do:
Para ver este contenido, necesitaremos su consentimiento para configurar cookies de terceros.
Para obtener información más detallada, consulte nuestra página de cookies.


Yo, que no ando por Twitter, sí recomiendo a los que lo hagan que sigan a Matthew Bennett... Informaciones y análisis muy destacables.
 
Editado cobardemente:
Si ya han dicho claramente que todo lo que sea gripe se va a contabilizar como covid.
Y este año no hay seguimiento de la campaña de la gripe en la web de Sanidad... porque todo será covid.
Dos cosas:

- No sé que tiene que ver la parida que dice con lo que yo he comentado (hablaba de autopsias, por si no se acuerda, ya que forea al tuntún).
- Fuente oficial ahora mismo de que la gripe será equivalente a COVID. Pero oficial, eh, no esas putas mierdas que pilla de no sé dónde cojones.

Una cosa es trolear y otra muy distinta ir haciendo el panoli por el hilo, so cansino (que ya en su momento reconoció que pagaba una pasta por unos potecitos inócuos de agua con una gota de lejía, pringao).
 
Lo que no entiendes es que partes de una premisa falsa. El análisis monista que haces es un ejercicio de ignorancia filosófica, de mala fe o las dos a la vez. Es un lisologismo basto, una huida de la complejidad. Los árboles no te dejan ver el bosque subnormal de montaña.

Y cúal es la premisa falsa, monista?
 
Editado cobardemente:
Y cúal es la premisa falsa, monista?
Que eres subnormal básicamente, y un puto brasas. Ya en otro hilo te respondí de buenas a todo lo que me preguntaste sobre china pasando por alto tu tonillo burlón y tus vaciladas típicas de subnormal quinceañero. Esta vez has entrado insultando y embistiendo como un miura diciendo una gilipollez tras otra y no me sale de los cojones volver a dártelo todo masticadito, si quieres saber algo sobre un tema infórmate y no hagas tantas preguntas en ese tonillo irónico intentando camuflar tu retraso, que tienes que ir preguntándolo todo mamón sin destetar.

Disculpad el offtopic.
 
Editado cobardemente:
Yo, que no ando por Twitter, sí recomiendo a los que lo hagan que sigan a Matthew Bennett... Informaciones y análisis muy destacables.
Tuvo (No sabemos por que) una temporada de lameculismo al Gobierno y confrontándose con tuiteros algo aguileños y Voxeros.

Lo deje de seguir.
 
Tuvo (No sabemos por que) una temporada de lameculismo al Gobierno y confrontándose con tuiteros algo aguileños y Voxeros.

Lo deje de seguir.

Ahhh, pues esa época me la perdí... Siempre que lo he leído ha sido en el sentido que dije antes.
 
@Blackhoof yo te digo esto, magufo ex alto cargo de la oms

Para ver este contenido, necesitaremos su consentimiento para configurar cookies de terceros.
Para obtener información más detallada, consulte nuestra página de cookies.



y esto tambien ... otro magufo de esos, ex director de una farmacéutiquilla cualquiera, Pzifer, que dice que los gobiernos están manipulando cifras de covid

Para ver este contenido, necesitaremos su consentimiento para configurar cookies de terceros.
Para obtener información más detallada, consulte nuestra página de cookies.


Aquí otro que tal baila, un ministro de sanidad

Para ver este contenido, necesitaremos su consentimiento para configurar cookies de terceros.
Para obtener información más detallada, consulte nuestra página de cookies.


Esta otra nwogacionista , epidemologa de la Universidad de Oxford que dice el virus no es peor que los que ya circulan (entiéndase gripales)

Para ver este contenido, necesitaremos su consentimiento para configurar cookies de terceros.
Para obtener información más detallada, consulte nuestra página de cookies.


Un profesor emérito de la Universidad de Berna, ex director del Instituto Universitario de Inmunología del Hospital Insel, de la misma cuerda negacionista


Biólogo y Decano del Colegio de Euskadi


El inventor las PCR, premio Nobel

Para ver este contenido, necesitaremos su consentimiento para configurar cookies de terceros.
Para obtener información más detallada, consulte nuestra página de cookies.
 
Editado cobardemente:
Para ver este contenido, necesitaremos su consentimiento para configurar cookies de terceros.
Para obtener información más detallada, consulte nuestra página de cookies.
 
Se va a hacer la prueba Rita la cantaora maestre Barberá. Antes me inmolo con un cinturón de explosivos y mato a todo cristo.
El pantano no se si se acabará drenando. Pero el cerebro se lo han drenado a mas de uno.
images (1).webp
 
Que eres subnormal básicamente, y un puto brasas. Ya en otro hilo te respondí de buenas a todo lo que me preguntaste sobre china pasando por alto tu tonillo burlón y tus vaciladas típicas de subnormal quinceañero. Esta vez has entrado insultando y embistiendo como un miura diciendo una gilipollez tras otra y no me sale de los cojones volver a dártelo todo masticadito, si quieres saber algo sobre un tema infórmate y no hagas tantas preguntas en ese tonillo irónico intentando camuflar tu retraso, que tienes que ir preguntándolo todo mamón sin destetar.

Disculpad el offtopic.

Una respuesta muy larga, para dejar claro que eres retrasado y no eres capaz de sostener tus diarreas mentales. Te bastaba con decir que no tiienes ni puta idea, pero eres un sectario capaz de hacerse pajas con stalin y aplaudir lo bien que lo hacen los chinos.
 
Si te lees un poco mejor la noticia quizá lo entiendas
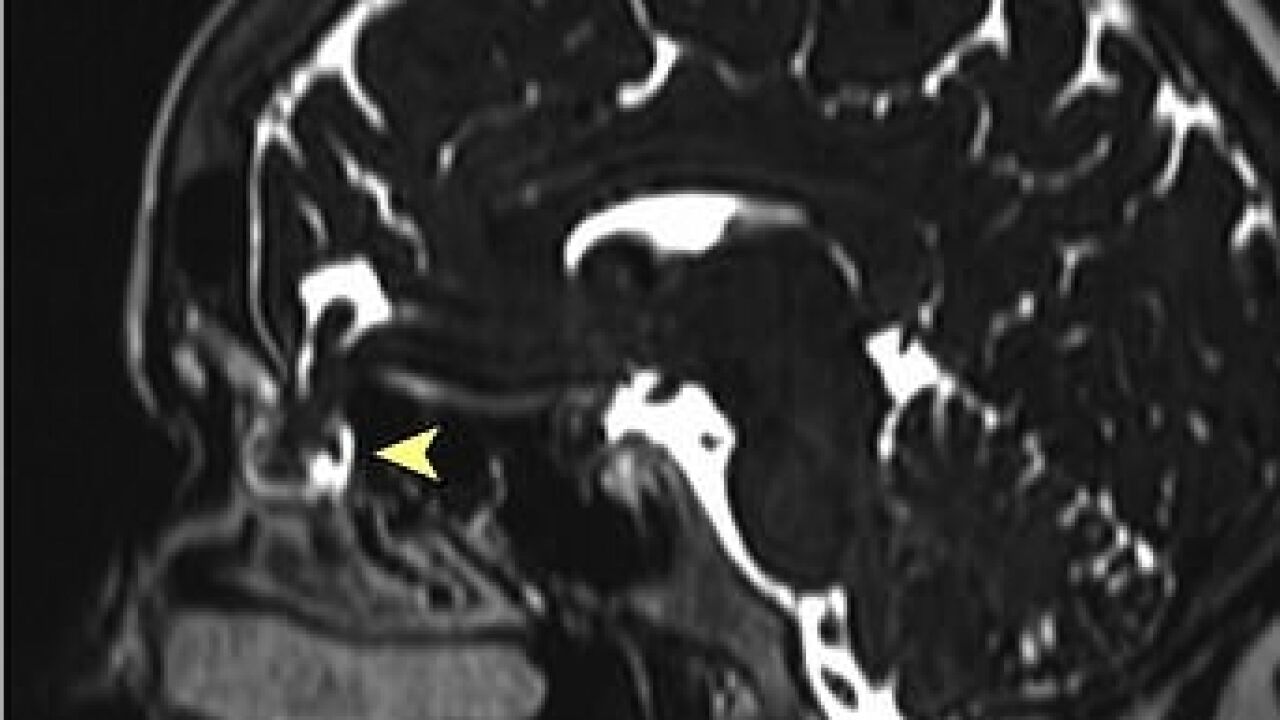
Tenía un agujero en la base del craneo donde no debía tapado por un himen finissimo y qué.
Cuantas personas no habrá en el mundo con ese defectito. Es una iatrogenia como la copa de un pino, que parece que no quieres admitir y por el que se debería realizar alguna prueba de imagen previa a la pcr para que eso no suceda.
Meterse cosas por la nariz siempre ha sido motivo de regañina de padres a hijos. Nada de lo que entra por la nariz salvo el aire que respiramos es bueno.
Enumerame una lista de cosas buenas que se pueda meter uno por la nariz sin que te entren cosquillitas:14:
 
El inventor las PCR, premio Nobel
Para ver este contenido, necesitaremos su consentimiento para configurar cookies de terceros.
Para obtener información más detallada, consulte nuestra página de cookies.


Parece que no has leido ni uno de los posts donde se cuentan las "maravillas" que ha dicho Kary Mullis, como por ejemplo que se mete tanto LSD que una vez lo visitaron unos aliens, que cree en la astrología y el horóscopo, que el sidra no existe etc etc

1601759685789.webp


Esas son tus fuentes superserias, chaval.
 
Atrás
Arriba Pie